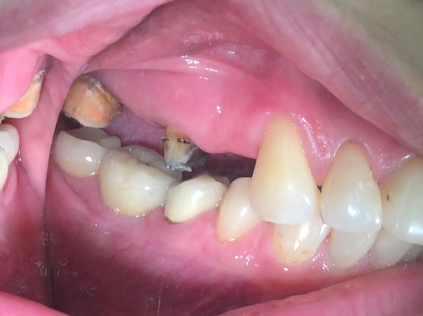
Сегодня опять поиграли в спортсменов. 26 имплантат в 1,5мм кости. Остальное описывать лень. dr.nechkin но твой случай мне нравится больше. Ненавижу септы))). #ктонерискуеттотнепьетшампанское
Today they played sportsmen again. 26 implant in 1.5mm bone. The rest is too lazy to describe. dr.nechkin but I like your case more. I hate septa))). # konerisetuetnefiethampagne
У записи 2 лайков,
0 репостов,
789 просмотров.
0 репостов,
789 просмотров.
Эту запись оставил(а) на своей стене Ираклий Антия
